Флюороз: Географическая патология

Флюороз — тема непростая. Тех, кто действительно глубоко разбирается в этом диагнозе, в России да и в мире единицы. Среди них — профессор Андрей Акулович. Он не только один из первых, кто системно занялся изучением флюороза в стране, но и разработал эффективную авторскую методику эстетической коррекции.
В этом материале — взгляд эксперта на географию заболевания, диагностику, профилактику и современные подходы к лечению.
КАРТА ФЛЮОРОЗА
В основном этому заболеванию подвержены дети в возрасте 6–8 лет с появлением зубов постоянного прикуса и проживающие в местности, где в питьевой воде переизбыток содержания фторидов. География и эпидемиология флюороза полностью между собой коррелируют. Фтор в водопроводной воде — это следствие природного залегания его соединений в грунтах. Если открыть карту с отмеченными фтористыми поясами — такой документ существует, например, у Всемирной организации здравоохранения, — становится понятно: очаги флюороза неравномерны, но устойчивы и вполне предсказуемы.
В России зарегистрировано более 20 эндемичных очагов, и один из крупнейших — в Московской области, особенно в Красногорском, Одинцовском и Щелковском районах. Также на стоматологической карте страны выделяются Тверская, Рязанская области и Республика Мордовия, где фиксируются наиболее тяжелые формы флюороза
За фтористыми поясами заболевание, как правило, не встречается. Исключение — искусственные очаги, созданные человеком. К ним относятся производственные зоны вблизи алюминиевых заводов, производства фосфатных удобрений или эпоксидных смол. Фториды — побочный продукт этих видов производств — часто попадают в окружающую среду: сбрасываются в водоемы или проникают в почву. Теоретически при закрытии производства или экологической санации территории частота случаев флюороза должна снизиться — однако в России и в мире не ведется систематическая статистика по обратной динамике.
Проблема флюороза остро стоит и в других странах, расположенных во фтористых поясах Земли: в Индии, Пакистане, Китае, Казахстане, а также некоторых странах Африки и в Мексике.

КЛАССИФИКАЦИЯ ПО СТЕПЕНИ ТЯЖЕСТИ
В России при диагностике и описании степени флюороза используется классификация В. К. Патрикеева, адаптированная к отечественной клинической практике. Она основывается на принципе наличия или отсутствия дефекта твердых тканей и делит флюороз на легкие и тяжелые формы.
КЛАССИФИКАЦИЯ В. К. ПАТРИКЕЕВА ДЛЯ ОПРЕДЕЛЕНИЯ СТЕПЕНИ ФЛЮОРОЗА
- Легкие формы: штриховая, пятнистая
и меловидно-крапчатая. Эти формы характеризуются сохранностью целостности эмали, отсутствием нарушения минерализации вглубь структуры зуба и, как правило, имеют только эстетическое значение. - Тяжелые формы: эрозивная, деструктивная. В этих случаях наблюдается нарушение целостности эмали, вплоть до утраты фрагментов твердых тканей.
В международной практике также используется классификация по Dean’s Index, основанная на проценте поражения коронковой части зуба. Однако в России она применяется реже, поскольку отечественная система дает более клинически значимую оценку с точки зрения лечебной тактики.
ПРЕДВАРИТЕЛЬНЫЕ МЕРЫ
Поскольку флюороз, как правило, возникает у детей на стадии формирования эмали постоянных зубов и проявляется спустя несколько лет после начального действия фактора — употребления фтористой воды в раннем детстве, то устранить причину задним числом невозможно. Учитывая этот факт, в эндемичных регионах нужно начинать профилактику флюороза с рождения ребенка. Главный принцип: он должен употреблять только бутилированную воду. Причем это касается не только питья, но и всей пищи и напитков, приготовленных на воде: супов, каш, чая.
Если диагноз «флюороз» поставлен в младшем возрасте, то не рекомендуется использование фторидов в зубных пастах, потому что фтор уже начал оказывать разрушающее воздействие на формирование кристаллической решетки эмали, не стоит добавлять его из зубных паст.
У подростков же, начиная примерно с 13–14 лет, ограничивать фтор в зубных пастах не так важно — флюороз уже сформировался, и процесс завершен. Если с флюорозом появляется кариес (а для флюороза это не характерно, но все же возможно), некоторые специалисты, наоборот, активно рекомендуют фторсодержащие пасты для укрепления эмали. Единого мнения по этому вопросу нет, и подход выбирается индивидуально.

- Андрей Акулович первым делом спрашивает пациента с симптомами, напоминающими флюороз, в каком регионе он провел детство и юность. Если место проживания не входит в перечень эндемичных зон — например, Мордовия, Тверская, Рязанская области, Подмосковье, — диагноз «флюороз» становится менее вероятным
ПОДРОСТКОВЫЙ ЗАПРОС
Флюороз, особенно в его легких формах, чаще всего не требует клинического вмешательства. По сути, единственное показание — эстетический дискомфорт пациента. До тех пор, пока пятна на зубах не начинают мешать психологически, флюороз — это просто анатомическая особенность, с которой можно спокойно жить всю жизнь.
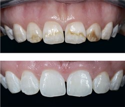
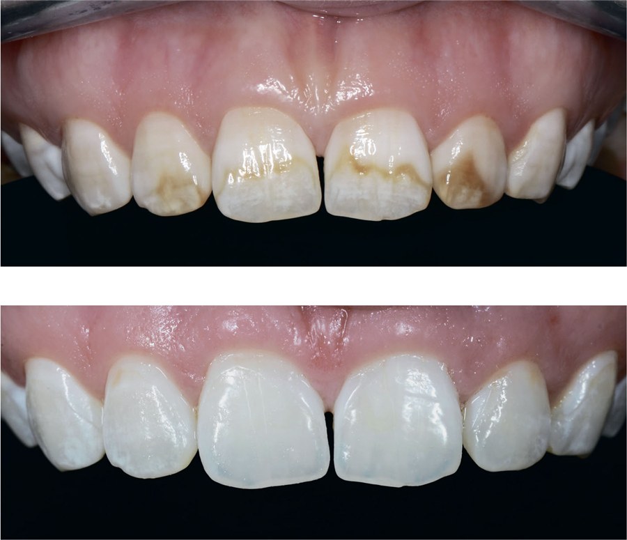
| Когда появились неинвазивные методики, пациенты получили шанс сохранить свои зубы и улучшить эстетику. Но это не замена виниров. Эффект не будет идентичным, хотя в большинстве случаев достаточно микроабразии, и человек остается со своими зубами на всю жизнь. На изображении: пациент Андрея Акуловича до и после микроабразии |
На практике пациенты с флюорозом приходят только тогда, когда их начинает волновать внешний вид. Чаще всего это происходит в подростковом возрасте, когда начинаются первые симпатии, общение, стремление нравиться — тогда возникает запрос на «сделать красиво».
С этой точки зрения работа с флюорозом — это эстетическая стоматология, а не лечебная. И здесь важны не только клинические результаты, но и тонкое понимание ожиданий пациента.
ВСЕ «СПИЛИТЬ»
Методы реминерализующей терапии остаются важной частью комплексного подхода, однако только ремтерапия не способна устранить эстетические проявления флюороза. Она работает на укрепление структуры эмали, улучшение микрофлоры, повышение устойчивости к кариесу, но не может устранить пигментацию или визуальные дефекты. На протяжении многих лет эстетические жалобы пациентов с флюорозом решались радикально: с помощью виниров или коронок. Это означало обязательную обточку зубов — иногда вполне здоровых — и дальнейшую реставрацию. Это дорогостоящая процедура.
Есть и бюджетная альтернатива — композит. Композитные «нашлепки» на фронтальные зубы действительно могут временно решить проблему. Но с клинической точки зрения — это паллиатив. Материал со временем темнеет, скалывается, набирает влагу, а самое главное — требует постоянной полировки, чтобы не терять блеск. Это недолговременное и эстетически неустойчивое решение. Альтернатива: микроабразия + ремтерапия + отбеливание.
Современная малоинвазивная альтернатива — методика микроабразии эмали, сочетающая щадящее механическое удаление пораженного поверхностного слоя, реминерализующую терапию и клиническое отбеливание. Это позволяет добиться заметного улучшения цвета и текстуры эмали без обточки и протезирования.
Мобильные приложения для стоматологов и пациентов
Использование лазера в детской стоматологии
Брекеты или элайнеры: Об особенностях каждого метода
Новейшие средства для ухода за полостью рта и кожей известных отечественных брендов
Как укрепить десна в домашних условиях















